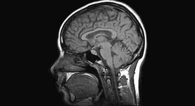
Un grupo de científicos de la compañía médica británica Heptares Therapeutics ha utilizado una de las máquinas de rayos X más potentes del mundo para estudiar la glándula pituitaria, situada en el cerebro, encargada de controlar el estrés la ansiedad e incluso la depresión.
Gracias a este trabajo, se ha hallado una proteina, denominada CRF1, situada en la glándula pituitaria que es la que provoca estos trastornos, según ha recogido The Sunday Times
Los científicos ya sabían que la glándula pituitaria jugaba un papel fundamental en los fenómenos de ansiedad y depresión, mediante la liberación de sustancias químicas a la sangre. Lo que no sabían era que la verdadera responsable de esta perturbacionesera la proteina CRF1, situada en las membranas externas de las células de la glándula.
Fiona Marshall, directora científica de Heptares Therapeutics, ha explicado que “las enfermedades relacionadas con el estrés, como la ansiedad o la depresión, afectan a un cuarto de la población adulta cada año, pero mucha gente desconoce que estas situaciones están controladas por proteínas del cerebro, y una de ellas es la CRF1″.

